Tampilkan postingan dengan label kulit. Tampilkan semua postingan
Tampilkan postingan dengan label kulit. Tampilkan semua postingan

Minggu, 29 September 2013

Cara mengenali kanker kulit atau bukan

Penyakit ini relatif mudah dikenali karena umumnya menyerang kulit bagian terluar atau epidermis. Meskipun mudah dikenali dan diatasi, namun tak sedikit pula jenis kanker ini yang ganas dan menyebabkan kematian. Kutil merupakan salah satu jenis penyakit kanker yang tidak ganas, meskipun tetap perlu diwaspadai.

Banyak faktor yang menyebabkan terjadinya penyakit kanker kulit. Antara lain disebabkan  banyaknya oksidan atau radikal bebas yang terhirup atau masuk dalam aliran darah. Begitu juga radiasi sinar radio aktif maupun ultraviolet dari sinar matahari yang mengenai kulit dalam waktu lama dan terus menerus juga dapat menyebabkan penyakit ini. 

Kanker kulit seringkali terlambat untuk diobati, karena gejalanya yang tidak disadari oleh kebanyakan orang. Lalu, bagaimana cara membedakan bercak biasa dengan bercak yang merupakan gejala kanker kulit? Health.com memberikan beberapa petunjuk berikut ini:

Tahi lalat: Tahi lalat yang normal tidak berbahaya dan bisa ditemukan di mana saja di seluruh tubuh. Tanda ini biasanya mulai berkembang sejak kecil hingga dewasa. Tahi lalat berukuran lebih kecil dari penghapus pensil, bulat, dan simetri, serta memiliki pinggiran yang halus dan berwarna.

Actinic keratosis: Actinic keratosis adalah pertumbuhan kulit sebelum kanker yang bisa ditemukan di kulit kepala, wajah, tangan, dan lengan bawah. Tanda ini berwarna seperti daging merah muda atau merah yang gatal dan kasar. Tanda seperti ini harus segera dihilangkan karena 5 - 10% actinic keratosis bisa menjadi kanker.

Basal cell carcinoma: Basal cell carcinoma adalah kerusakan pada kulit yang disebabkan oleh matahari dna kebanyakan ada di wajah. Biasanya terlihat seperti jerawat berwarna merah muda atau merah yang bisa berdarah dan menyebabkan keropeng. Ini adalah tipe kanker kulit yang bisa disembuhkan dengan mudah jika segera diobati.

Squamous cell carcinoma: Kanker tipe ini biasanya banyak muncul pada bagian tubuh, kaki, atau tangan dan masih bisa disembuhkan jika ditangani sejak awal. Bentuk kanker ini menyerupai kutil yang tumbuh dan bisa berdarah. Kanker ini juga memiliki bentuk seperti lepuhan di pinggirnya.

Melanoma: Melanoma adalah jenis kanker yang berbahaya dan bisa menyebar dengan cepat. Namun melanoma masih bisa disembuhkan jika dideteksi sejak dini. Pada wanita, melanoma biasanya muncul di kaki, dan jarang sekali di wajah. Sementara pada pria biasanya muncul di tubuh. Anda harus waspada ketika melihat tanda seperti penyakit jamur namun berwarna hitam. Bercak hitam ini biasanya akan tumbuh membesar berwarna coklat, coklat kemerahan, atau tetap berwarna hitam.
Itulah beberapa tanda yang harus Anda perhatikan ketika melihat ada bercak atau kutil di kulit Anda. Perhatikan dengan seksama dan waspadalah. Mengetahui kanker kulit sejak dini bisa sangat membantu dalam proses penyembuhan. Jangan lupa juga untuk terus lindungi kulit Anda.

Terimakasih telah mengunjungi Blog Regina Putri, semoga informasi Cara mengenali kanker kulit dapat berguna dan bermanfaat bagi anda. Share informasi ini agar teman atau kerabat kita mempunyai pengetahuan baru.

Rabu, 25 September 2013

Efek samping rokok terhadap kecantikan kulit dan rambut

Hampir seluruh dokter ahli kulit-kosmetik dan dokter ahli bedah plastik memberi rekomendasi negatif terhadap kebiasaan merokok bagi kesehatan dan kecantikan. Bahkan dokter-dokter ahli bedah plastik estetik selalu memberi anjuran penghentian merokok selama 2-3 minggu sebelum hari operasi yang disepakati sampai rentang waktu selama 2 minggu pertama penyembuhan pascaoperasi.

Secara umum kita mengetahui bahwa merokok berisiko membahayakan fungsi paru-paru dan fungsi jantung. Atas dasar itu, anjuran membatasi rokok sebelum suatu prosedur operasi umumnya berkaitan dengan antisipasi kelancaran proses pembiusan umum (tidur) pada prosedur yang terkait.

Di luar dari hal-hal di atas, banyak hal yang juga penting diketahui namun sering luput dijelaskan, bahwa merokok sangat buruk bagi kesehatan kulit dan jaringan bawah kulit. Padahal, dalam prosedur estetik, kedua jaringan itu lah yang mengalami manipulasi oleh dokter operator dalam tujuan untuk mencapai perbaikan bentuk wajah/bentuk rupa. Adanya kualitas jaringan kulit dan jaringan bawah kulit yang buruk, berisiko mempersulit capaian akhir bentuk estetik yang baik dan indah.

Adapaun jaringan kulit mendapat makanan dari suplai pembuluh-pembuluh darah kapiler halus yang berjalan mengantarkan oksigen dan zat nutrisi kepadanya. Semua makanan, minuman, atau apapun yang kita konsumsi akan dipecahkan oleh metabolisme tubuh menjadi bermacam-macam zat yang diantarkan oleh darah ke sel-sel dan jaringan, termasuk ke jaringan kulit. Begitu pun dengan konsumsi makanan, minuman, atau pun hal-hal yang tidak baik untuk kesehatan, zat-zat yang tidak baik akan ikut diantarkan oleh darah ke sel-sel dan jaringan, termasuk ke jaringan kulit.

Beberapa fakta berikut menjelaskan mengapa merokok tidak dianjurkan untuk kesehatan dan kecantikan jaringan kulit:
Kulit Kendur dan Berkeriput: Zat kimia yang ada dalam tembakai bisa memicu pengrusakan kolagen dan elastin. Kolagen adalah sejenis protein pembangun utama pada dermis (lapisan kulit dalam) yang menjaga kulit tetap kencang dan lentur. Sementara elastin juga merupakan protein yang membentuk serat elastis tipis dan berfungsi mengembalikan kulit ke posisinya saat beristirahat. Bisa dibayangkan jika kedua komponen ini rusak, maka kulit akan lebih cepat mengendur dan keriput.

Garis-garis di Sekitar Bibir: Saat menghisap rokok, otot-otot tertentu di sekitar bibir akan mengerut. Hal itu akan membuat kerutan dan muncul garis-garis halus pada bibir, karena terjadi tekanan pada kulit di sekitar bibir dan pipi yang memicu hilangnya elastisitas.

Noda Penuaan: Sejumlah penelitian menunjukkan bahwa perokok lebih rentan mengalami tanda-tanda penuaan lebih dini, terutama bercak atau noda kecoklatan. Noda penuaan sering ditandai dengan bercak yang warnanya lebih gelap dari warna kulit dan umumnya terdapat di wajah dan tangan.

Jari-jari Bernoda: Konsumsi rokok yang berlebihan bisa membuat jari-jari tangan dan kuku bernoda kecoklatan. Begitu juga dengan gigi. Noda pada kulit dan gigi tentu akan membuat penampilan kurang menarik.

Rambut Rontok: Merokok bisa mempercepat penipisan rambut pada pria maupun wanita. Penyebabnya, merokok akan menyumbat pembuluh arteri yang bertugas mengirimkan nutrisi ke seluruh tubuh. Termasuk ke kulit kepala. Akibatnya, tubuh tidak mendapatkan nutrisinya dengan baik sehingga pertumbuhan rambut pun terhambat.

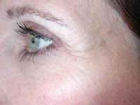
Kerutan di Mata: Kerutan di sekitar mata terbentuk lebih cepat pada perokok. Asap rokok yang dihembuskan akan membuat perokok jadi lebih sering menyipit untuk mencegahnya masuk ke mata. Kebiasaan buruk inilah yang membuat kerutan di sudut mata terbentuk lebih cepat. Selain itu, zat yang terbawa asap rokok ketika dihirup bisa merusak struktur kulit dan pembuluh darah di sekitar mata.

Terimakasih telah mengunjungi Blog Regina Putri, semoga informasi Efek samping rokok terhadap kecantikan kulit dan rambut dapat berguna dan bermanfaat bagi anda.Share informasi ini agar teman atau kerabat kita mempunyai pengetahuan baru.

Rabu, 18 September 2013

8 Jenis buah yang membuat kulit awet muda

Awet muda merupakan dambaan setiap orang. Dengan wajah yang awet muda membuat seseorang menjadi percaya diri dan bangga. Namun untuk mencapai semua itu bukanlah hal yang mudah. Banyak orang berupaya dan rela mendapatkannya meskipun harus mengeluarkan
biaya 
puluhan hingga ratusan juta rupiah demi mendapatkan perawatan khusus, seperti operasi plastik, obat – obatan mahal, perawatan kecantikan, dll.

Memiliki wajah cantik dan kulit mulus adalah dambaan setiap orang, terlebih lagi bagi kaum hawa. Karena bagi mereka penampilan sangatlah penting mengingat bisa jadi penampilan seseorang menunjukan karakter dan kepribadian masing-masing individu.

Banyak cara yang dilakukan oleh orang-orang untuk membuat dirinya menjadi tampak cantik dan awet muda. Maka tak heran banyak orang yang rela mengeluarkan uang puluhan juta rupiah untuk menjaga penampilan nya tersebut tetap awet muda meski usia semakin bertambah. Baik dengan cara operasi plastik atau menggunakan berbagai jenis kosmetik yang super mahal.

Namun, tahukah anda? ada berbagai cara alami yang bisa kita lakukan untuk membuat kulit menjadi kencang dan awet muda tanpa harus merogoh kocek dalam-dalam, alias murah meriah. Yups, salah satunya adalah dengan mengkonsumsi buah-buahan.

Seperti yang kita ketahui buah dan sayuran dapat melawan penuaan molekul tubuh. Buah dan sayur juga mencegah penurunan kognitif (kemampuan berpikir). Dua alasan bagus inilah untuk mulai makan lebih banyak buah dan sayuran.

Tahukah anda, bahwa untuk mendapatkan kulit yang kencang dan cerah tak selalu harus mengeluarkan uang yang mahal. Beberapa jenis makanan dibawah ini mempunyai khasiat ‘khusus’ untuk melawan penuaan jika dikonsumsi secara teratur.

1. Tomat: Penelitian menunjukkan tomat sepuluh kali lebih potensial dari vitamin C dan 14 kali lebih kuat dibandingkan antioksidan pada anggur merah untuk dapat membuat kulit awet muda. Tomat juga mengandung pigmen merah likopen yang dapat membantu memperlambat masalah yang terkait dengan penuaan. Kabar baiknya, likopen bahkan lebih baik diserap ketika tomat dimasak.

2. Wortel: Wortel mendapatkan warna cerah oranye dari nutrisi super pigmen beta karoten. Para ilmuwan percaya bila nutrisi super ini terkumpul di bawah kulit dapat memberi perlindungan terhadap radiasi matahari. Makan secara teratur buah yang mengandung beta karoten seperti jeruk, ubi jalar, sayuran hijau gelap, aprikot, buah persik, wortel memenuhi kebutuhkan kulit untuk anti-penuaan.

3. Apel: Apel juga merupakan buah super yang bisa membuat kulit awet muda. Semangkuk apel bisa berisi 15 nutrisi yang menakjubkan. Salah satunya antioksidan quercetin yang dapat membantu membunuh virus. Jangan kupas kulit apel karena quercetin berharga ada di bawah kulit apel.

4. Pisang: Pisang bisa menjadi pilihan makanan ringan yang sehat, karena kaya akan kalium yang membantu mengembalikan keseimbangan elektrolit dan menyerap kelebihan air dalam tubuh. Dengan dikombinasikan dengan diet rendah garam, satu buah pisang sehari dapat dapat membantu menyusutkan pergelangan kaki yang bengkak, pergelangan tangan dan perut.

5. Jeruk: Segelas jus jeruk memiliki setidaknya 170 nutrisi super, ditambah dengan banyak vitamin yang dapat meningkatkan kekebalan tubuh seperti vitamin C, kalium dan vitamin B yang dibutuhkan untuk saraf yang kuat. Jeruk juga memberi pigmen kuning yang disebut lutein, antioksidan yang membantu melindungi kulit dari kerusakan akibat sinar matahari. Selain Jeruk itu sendiri, ternyata Kulit Jeruk Jeruk mengandung banyak vitamin C yang baik untuk kesehatan. Selain buahnya, kulit jeruk mengandung banyak sekali zat antioksidan pencegah berbagai macam penyakit dan kanker. Kulit jeruk dapat dikonsumsi secara langsung sebagai salad (dengan cara diparut halus) atau digunakan sebagai masker dengan menempelkannya pada kulit wajah.

6. Mentimum:  Mentimun mengandung zat silicca terutama pada bagian kulitnya berfungsi menjaga wajah dari menurunnya jumlah kolagen pada kulit wajah yang memicu penuaan dini serta keriput pada wajah. Umumnya perawatan wajah yang dilakukan dengan kulit mentimun adalah dengan menempelkannya pada wajah sebagai masker selama kurang lebih 15 – 30 menit.

7. Kacang Almond: Kacang almond mengandung banyak vitamin E yang bermanfaat untuk merawat dan melindungi kulit. Zat yang terkandung dalam vitamin E dapat mencegah penuaan dini. Ada baiknya agar sering mengkonsumsi vitamin E untuk menjaga kulit agar tetap kencang dan cerah.

8. Brokoli: Brokoli Brokoli mengandung banyak sekali sulforaphane untuk melindungi kulit dari penuaan dini serta menurunnya kolagen kulit akibat sengatan sinar matahari. Dengan mengkonsumsi brokoli dapat menurunkan resiko terserang penyakit kanker.

Terimakasih telah mengunjungi Blog Regina Putri, semoga informasi 8 jenis buah yang membuat kulit awet muda dapat berguna dan bermanfaat bagi anda.

Cara membuat wajah atau kulit selalu awet muda

Bagi orang – orang yang memasuki rentang usia tiga puluh tahun ke atas. kecantikan kulit wajah memang akan mengalami penurunan. Umumnya disebabkan oleh berbagai faktor seperti faktor usia, hormon, dan juga psikologis. Terdapat banyak sekali solusi yang ditawarkan untuk
mengatasi masalah kecantikan wajah. Mulai dari penggunaan bahan – bahan alami atau herbal, penggunaan obat – obatan pabrik dan kosmetik, bahkan ada yang melakukan langkah ekstrim dengan mengambil tindakan medis atau bedah.Hal demikian dilakukan dengan satu tujuan, yaitu agar wajah tetap terlihat menawan dan awet muda. Tetapi perawatan tidak cukup untuk membuat wajah tetap segar dan sehat. Ada juga hal – hal pendukung yang tidak kalah pentingnya, bahkan secara tidak langsung juga turut mempengaruhi perkembangan kulit wajah. Contohnya, menjaga pola hidup, gaya makan, olahraga teratur, dan kondisi psikis yang harus dijaga.

Keadaan ‘bahagia’ cenderung membuat setiap orang akan tampil lebih ‘hidup’ dan lebih bersinar bila dibandingkan orang yang selalu murung dan berpikir negatif terhadap hidupnya. Tidak lupa juga untuk menjaga pola tidur dan pola hidup berolahraga agar tubuh selalu fit dan prima.

Semua hal yang disebutkan diatas akan berimbas pada aura kecantikan seseorang, baik pria maupun wanita. Sebenarnya ada satu cara lagi agar wajah tetap menawan dan tampil awet muda, yaitu dengan melakukan senam wajah. Sama seperti bagian tubuh lainnya yang memiliki otot, wajah juga perlu digerakkan otot – ototnya agar tetap terlihat kencang dan sehat. Manfaatnya agar otot – otot menjadi lebih rileks sehingga wajah Anda akan terlihat ceria dan berseri – seri.

Berikut ini adalah beberapa cara membuat wajah atau kulit selalu awet muda:
1.  Bersihkan Wajah Maksimal
Kulit wajah yang bersih mampu menyerap nutrisi secara maksimal. Cuci bersih wajah  Anda dengan memperhatikan beberapa hal.  Pertama, basuh wajah dengan air hangat, gunakan sabun pencuci muka yang sesuai dengan jenis kulit. 
Bila Anda baru menggunakan make up, gunakan sikat wajah karena bulu halusnya dapat membersihkan sisa-sisa make up dan kotoran dengan lebih baik. Pijatan halus dari bulu sikatnya membantu melancarkan peredaran darah pada wajah. 
Bilas wajah dan keringkan dengan handuk bersih. Ganti handuk Anda secara berkala karena handuk yang terlalu lama digunakan rentan meninggalkan jamur dan bakteri. Oleskan penyegar untuk memberi perawatan yang maksimal, lalu lanjutkan dengan perawatan harian seperti serum dan pelembap.

2.  Mulai Sejak Dini
Jangan anggap remeh perawatan anti aging, mulailah dari usia 20-an. Lengkapi ritual harian dengan perawatan serum, krim malam, dan krim mata. Pilih produk anti aging yang ditujukan bagi usia 20-an.
Kandungan yang terdapat di dalamnya  bertujuan untuk mencegah  timbulnya tanda-tanda penuaan dan menjaga proses metabolisme sel kulit tetap stabil. Sebaiknya, Anda juga menjaga pola makan dan gaya hidup. 
Banyak orang mengira, di usia muda bisa mengonsumsi makanan tanpa batasan. Padahal, apa yang kita konsumsi merefleksikan kondisi tubuh kita nanti. Batasi makanan berlemak dan kurangi gula dari sekarang untuk umur lebih panjang dan kulit yang lebih sehat.

3.  Rutin berolah raga
Sempatkan berolahraga minimal 3 kali dalam seminggu selama 30 sampai 60 menit. Selain baik bagi tubuh dan jantung, olahraga juga merangsang sistem hiposis hipotalamus di otak yang mengeluarkan hormon anti aging yang kuat. 
Bila Anda tidak sempat, mulai dari gerakan-gerakan ringan dan unik yang tidak membuat Anda cepat bosan. Awali dengan bangun dari tempat tidur dan berjalan mengelilingi rumah selama 15 menit. Cara ini membuat tubuh Anda sudah melakukan olahraga ringan. 
Lalu tingkatkan aktivitas dengan jogging ringan, atau tambahkan senam lantai yang ringan dan ringkas. Lama-kelamaan tubuh akan menagih aktivitas dan tubuh akan terasa berat jika Anda tidak menyempatkan diri untuk bergerak.  

4.  Masker Alami
Selain melakukan perawatan harian, manjakan kulit wajah dengan masker alami buatan sendiri.  Campur putih telur dengan air jeruk lemon, aduk hingga berbuih. Oleskan masker ke wajah yang sudah dibersihkan secara merata. Putih telur berfungsi mengencangkan kulit dan mengecilkan pori-pori. Kandungan proteinnya berguna melembapkan kulit serta mempercepat proses regenerasi. Lemon yang kaya akan vitamin C berfungsi sebagai antioksidan untuk melawan penuaan. Untuk menjaga elastisitas kulit, gunakan masker ini seminggu sekali.

5.  Istirahat Yang Berkualitas
Tidur pada malam hari memerlukan waktu 7 sampai 8 jam untuk memberi waktu tubuh memperbaiki sel dan beristirahat setelah seharian beraktivitas. Jaga kualitas tidur Anda, jangan biarkan otak terlelap dalam keadaan stres. Bersihkan area istirahat Anda dari benda-benda yang mengganggu kenyamanan, seperti laptop dan buku. Buat tempat tidur Anda menjadi zona istirahat  dengan tidak membiasakan melakukan aktivitas lain di tempat tidur selain beristirahat. Bila Anda menempatkan TV di kamar, jangan menyalakannya saat ingin tidur. Ini akan mengulur waktu tidur sehingga mengurangi jam tidur. Matikan semua lampu dan sumber cahaya. Istirahat dalam keadaan gelap membuat tubuh menghasilkan hormon melatonin yang baik bagi pertahanan tubuh dan menjaga sel tubuh dari kerusakan. Hindari  minum air terlalu banyak sebelum tidur, karena Anda akan buang air kecil di tengah jam tidur, sehingga mengganggu tidur Anda

Terimakasih telah mengunjungi Blog Regina Putri, semoga informasi Cara membuat wajah atau kulit selalu awet muda dapat berguna dan bermanfaat bagi anda.

Selasa, 10 September 2013

Cara memilih cream pemutih yang tepat

Wanita ingin tampil cantik di segala waktu, banyak cara yang dilakukan untuk mempercantik diri, dimulai dari perawatan yang di lakukan dirumah maupun pusat kecantikan. Kecantikan yang diinginkan wanita yaitu tidak lepas dari keamanan kesehatannya, penggunaan produk-
produk kecantikan yang beredar dipasar belum tentu semua aman untuk kesehatan anda. Untuk memutihkan wajah salah satunya menggunakan krim pemutih, namun kita harus cermat cara memilih krim pemutih wajah yang aman.Perhatikan komposisi cream pemutih wajah

Cek komposisi bahan yang digunakan dalam cream pemutih wajah pilihan anda. Anda bisa mengetahui apakah produk tersebut mengandung bahan membahayakan kulit atau tidak. Berhati-hatilah juga karena ada pula yang sengaja menyembunyikan bahan berbahaya (misalnya merkuri) dalam daftar komposisi, salah satu caranya jangan mudah tergiur dengan harga murah, apabila anda menemukan penjual cream pemutih wajah di bawah 50rb patutu di curigai. 

Amati jenis kulit wajah anda
Untuk urusan perawatan wajah salah satu bagian paling penting adalah dengan melihat jenis kulit anda,, kenali dulu jenis kulit Anda lalu temukan cream pemutih wajah yang sesuai dengan jenis kulit Anda. Karna jika Anda memilih tanpa mengetahui jenis kulit Anda sendiri, takutnya hal ini akan berdampak buruk pada kulit wajah Anda. Untuk itu sebaiknya pilih cream pemutih sesuai jenis atau tipe kulit wajah Anda.

Instan tidak selalu baik
Trend istan tampaknya sedang melanda para wanita indonesia khususnya dalam perawatan wajah dan tubuh, mungkin tidak ingin repot dan segala macamnya.

Sebaiknya Pilihlah cream pemutih wajah yang mampu memutihkan wajah secara bertahap, bukan yang secara instan karena semua itu butuh proses dan perawatan yang cukup rutin. Mana ada sih cream yang begitu langsung pakai langsung wajah kita putih berseri ? sudah pasti tidak ada, untuk itu perlu dilakukan perawatan muka yang rutin.
Setia pada pasangan
Jangan kaget dulu membaca point yang satu ini, sama seperti kehidupan kita, pilihlah cream pemutih wajah yang paling cocok untuk anda sebagai pasangan anda, jangan tergiur promosi dari penjual untu mencoba cream yang baru.

Kalaupun harus berganti produk, jangan terlalu sering bergonta-ganti skin product pemutih wajah. jika memang sudah cocok sebaiknya Anda jangan menggantinya, jika Anda menggantinya justru makin memperparah kondisi kulit wajah menjadi gampang alergi dan iritasi. Agar lebih aman, pilih saja cream pemutih wajah yang mengandung pelembab dan bebas minyak.

Pola pemakaian
Jangan lupa bersihkan wajah sebelum memakai cream pemutih wajah, karena cream pemutih wajah tidak akan bekerja efektif jika wajah masih kotor. Serta lakukanlah secara rutin agar mendapatkan hasil yang maksimal.

Terimakasih telah mengunjungi Blog Regina Putri, semoga informasi Cara memilih cream pemutih yang tepat dapat bermanfaat bagi anda.

Manfaat dan Efek Samping Suntik Vitamin C

Vitamin C adalah Vitamin yang cukup penting untuk tubuh kita, karena Vitamin C dapat menangkal radikal bebas, sebagai anti oksida dan juga berguna untuk meningkatkan sistem imun tubuh. Vitamin C dapat kita temui dengan mudah, contohnya di Buah Jeruk. Buah Jeruk ternyata
mengandung banyak Vitamin C, dengan mengkonsumsi 1 Buah Jeruk  setiap harinya kita dapat memenuhi kebutuhan Vitamin C tubuh. Namun seiring berjalannya waktu dan tren yang berkembang dimasyarakat, Vitamin C juga ternyata digunakan untuk menunjang penampilan kulit dengan cara yang cepat dan instan. Banyak wanita akhirnya berbondong – bondong untuk melakukan Suntik Vitamin C karena tertarik dengan khasiat yang dihasilkan.

Suntik Vitamin C sebenarnya berguna untuk kekebalan tubuh seseorang, memprcepat proses penyembuhan dari suatu penyakit, dan juga berkhasiat membuat kulit tampak halus dan muda. Perlu diperhatikan, dosis untuk setiap Suntik Vitamin C pun harus ditentukan oleh anjuran dokter, bila berlebihan dan terlalu banyak melakukan Suntik Vitamin C maka yang terjadi adalah pembuluh darah pada tubuh akan mengeras dan terjadi gangguan sirkulasi darah. Bahkan bila dilakukan dalam jangka waktu yang panjang, Suntik Vitamin C ini juga dapat menggangu fungsi ginjal dan kematian.

Dosis Suntik Vitamin C
Bayangkan bila tubuh yang seharusnya menampung 50-60 mg Vitamin C/hari, harus melebihi kemampuan tubuh yaitu 4000 mg setiap kali menyuntikan Vitamin C. Jauh dari dosis normal yang dianjurkan. Namun tidak dapat dipungkiri khasiat dari Suntik Vitamin C, kulit memang tampak lebih putih dan cerah, terlebih setelah melakukan Suntik Vitamin C beberapa kali. Ini dikarenakan Vitamin C berguna untuk menghambat pembentukan pigmen pada kulit.

Biaya yang diperlukan untuk Suntik Vitamin C-pun bervariasi, tergantung diaman kita melakukan Suntik Vitamin C tersebut, mulai dari Rp 75.000 – Rp. 3.000.000 / suntikan. Lebih baik saat akan melakukan Suntik Vitamin C ini, konsultasilah pada dokter yang sudah berpengalaman dan berkualitas agar tidak terjadi hal – hal seperti kecanduan, menopouse dini. Perlu dipertimbangkan, dibandingkan harus melakukan Suntik Vitamin C yang mengakibatkan efek samping, lebih baik mengambil langkah alami yaitu dengan mengkonsumsi buah buahan secara teratur agar Vitamin C yang dibutuhkan oleh tubuh dapat terpenuhi.

Efek Samping suntik Vitamin C
Disarankan bila ingin mengkonsumsi vit c dosis cukup tinggi, untuk berkonsultasi dengan dokter. Karena menyangkut efek samping yang dapat di derita. Sejauh ini vitamin C aman untuk dikonsumsi. Tapi konon vitamin C sebaiknya jangan diberikan pada penderita gagal ginjal dan batu ginjal, sebab akan memacu pembentukan batu ginjal. Vitamin C juga bisa mengganggu penyerapan mineral yang diperlukan tubuh seperti tembaga. Vitamin C merupakan senyawa yang mempermudah penyerapan zat besi. Sebaiknya jangan diberikan pada penderita yang mempunyai kelebihan zat besi. Misalnya pasien hematokromatosis (pewarnaan jaringan dengan pigmen darah).

Pengidap maag juga harus hati-hati, karena vitamin C yang bersifat asam maka sebaiknya konsumsi vitamin C dianjurkan untuk makan terlebih dahulu untuk menghindari rasa perih di daerah lambung.

Banyak manfaat yang dapat diambil bila mengkonsumsi vitamin C, tapi yang harus perlu diingat bahwa mengkonsumsi vitamin C bukan merupakan terapi utama tetapi merupakan terapi penunjang. Harus berhati-hati mengkonsumsi vitamin C bila mempunyai riwayat penyakit maag dan batu ginjal karena dapat memperberat penyakit ini.

Yang akan ditanyakan terlebih dahulu oleh dokter sebelum melakukan penyuntikan Vitamin C, mereka akan menanyakan apakah pasien mempunyai penyakit maagh turunan atau gangguan ginjal.

Sebetulnya yang paling berbahaya adalah apabila ada penolakan dari tubuh sewaktu dilakukan penyuntikan, maka dapat menyebabkan kematian seketika.

Selain dr. Maria, dr. Titi pun menyatakan hal serupa. Jadi berpikirlah 2 kali jika ingin tampil cantik, pilihlah produk yang alami dan bukan sesuatu yang dapat diciptakan secara instan.

Hati-Hati Suntik Vitamin C! 

Jakarta, Belakangan praktek suntik Vitamin C menjamur di Indonesia. Konon, suntik Vitamin C bisa membuat tampilan kulit kita menjadi lebih cerah, dan bisa memutihkan. Hal ini memang benar adanya.

Tapi segala hal pasti ada efek sampingnya, termasuk suntik Vitamin C.dr. Titi Moertolo, spesialis kulit dan kelamin pun menjelaskan apa saja efek yang bisa ditimbulkan dari suntik Vitamin C ini.

Menurut dr. Titi asupan Vitamin C yang layak kita konsumsi setiap harinya hanya 50-60 miligram (mg) per hari. Ini bisa kita peroleh melalui buah yang kita konsumsi. “Dengan satu buah jeruk saja setiap hari, sebenarnya asupan vitamin C untuk kita sudah cukup,” jelasnya.

Lain halnya dengan suntik vitamin c. Untuk satu kali suntik, 4.000 mg vitamin C akan masuk ke tubuh kita. Ini berarti jauh melebihi dosis normal yang seharusnya kita konsumsi.

Memang, -dr. Titi menambahkan- tampilan kulit akan menjadi lebih cerah, bahkan lebih putih setelah lima kali suntik vitamin C. Hal ini dikarenakan vitamin c menghambat pembentukan pigmen pada kulit.

Namun efek sampingnya bisa jauh lebih berbahaya. Jika sudah terlalu sering endapan vitamin C di dalam tubuh memungkinkan adanya kristalisasi. Perlu diwaspadai juga terbentuknya batu ginjal yang bisa menimbulkan penyakit.

dr. Titi menyarankan sebaiknya menggunakan produk kosmetika dengan vitamin C yang diaplikasikan langsung ke wajah, bukan disuntikkan ke dalam tubuh. Jadi, berhati-hatilah dalam memilih perawatan kecantikan.
(Kompas)

Jakarta, Kompas – Seorang mahasiswi salah satu perguruan tinggi di Belanda, Hilda Pasman (20), tewas ketika tengah berupaya mempercantik penampilannya dengan membesarkan payudaranya. Ia tewas tak lama setelah Ho Tjun Tju (34), yang membuka usaha di bidang kecantikan, menyuntikkan colagen ke dalam payudara korban Sabtu (7/8) malam.

Tjun Tju akhirnya ditangkap aparat Kepolisian Sektor (Polsek) Metropolitan Kebon Jeruk, Jakarta Barat.

Sebelum meninggal, Hilda sempat mengalami kejang-kejang dan kemudian dibawa ke Rumah Sakit (RS) Graha Medika.

Dalam catatan Kompas, kasus serupa sebenarnya sudah beberapa kali terjadi, antara lain di Surabaya (Maret 2001 dan Juni 2002), Malang (April 1998), dan Solo (September (1999), meskipun tidak semua korban meninggal dunia.

Keterangan yang dihimpun Kompas, kemarin, menyebutkan, Tjun Tju membuka praktek sebagai ahli kecantikan di sebuah rumah toko (ruko) berlantai dua di Jalan Kedoya Raya RT 02/RW 07 Jakarta Barat. Menurut keterangan warga, Tjun Tju sudah lima tahun mengontrak ruko tersebut. Janda itu tinggal bersama ibu dan empat anaknya di lantai atas ruko, sementara lantai bawah digunakan untuk membuka usaha fotokopi. Tidak ada papan nama yang menjelaskan bahwa di tempat tersebut ada praktik ahli kecantikan.

Dari luar, ruko dua lantai itu tampak tidak terawat. Kaca nako dilapisi debu tebal. Sedangkan catnya sudah kusam. Di lantai atas ruko tersebut Tjun Tju sering menerima tamu-tamunya. Setiap tamu yang datang ingin mempercantik diri langsung disuruh naik ke lantai atas melalui tangga yang ada di ruangan tempat fotokopi.

Kepala Unit Reserse dan Intelijen Polsek Metropolitan Kebon Jeruk Iptu Budi Cahyono menyatakan, Hilda yang tinggal di Harapan Mulya, Cempaka Wangi III RT 03/RW 09, Kemayoran, Jakarta Pusat, saat ini tengah liburan. Sabtu itu dia tiba di rumah Tjun Tju sekitar pukul 16.30.

Menurut Tjun Tju, sebelum peristiwa tersebut, Hilda juga pernah menggunakan jasanya. Kepada polisi, Tjun Tju menyatakan, Hilda datang dalam keadaan tidak enak badan. Suhu badannya agak tinggi. Karena itu, Tjun Tju sempat menolak untuk menyuntikkan colagen kepada Hilda. Namun, Hilda memaksa untuk disuntik hari itu juga.

Sekitar pukul 20.00, Tjun Tju kemudian menyuntik payudara Hilda dengan colagen (zat yang biasa digunakan untuk meremajakan sel-sel kulit). Entah kenapa, begitu jarum disuntikan ke payudara, Hilda langsung tergeletak pingsan, dengan jarum masih tertancap di payudaranya. Tjun Tju pun panik. Bersama ibu dan pembantunya, Tjun Tju menggosok-gosok seluruh tubuh Hilda dengan minyak gosok.

Hilda kemudian digotong keluar ruko dan dibawa ke RS Graha Medika dengan taksi. Namun, ketika sampai di rumah sakit, Hilda dinyatakan sudah meninggal.

Polisi yang mendapat informasi mengenai kematian Hilda yang tergolong tidak wajar kemudian menangkap Ho Tjun Tju sekitar pukul 21.00.

“Tubuhnya dingin. Pada saat pingsan, Hilda buang-buang air besar,” kata Budi Cahyono. Budi mengatakan, Tjun Tju bukanlah seorang dokter. Ia juga tidak memiliki sertifikat untuk berpraktik sebagai ahli kecantikan. Keahliannya dalam bidang kecantikan, menurut Tjun Tju kepada polisi, diperoleh secara otodidak.

Sejumlah warga di sekitar tempat kejadian perkara (TKP) menyatakan tidak tahu bahwa ruko Tjun Tju digunakan sebagai tempat praktik salon kecantikan.

Menurut Dirjo (37), tukang ojek yang biasa mangkal di depan ruko tersebut, hal itu dikarenakan Tjun Tju lebih banyak menerima panggilan ke rumah pelanggannya. “Yang datang paling satu-dua. Kalau siang dia lebih sering pergi. Perginya sampai ke Karawaci, Roxy, dan Tangerang,” katanya.

Itu juga diakui Tjun Tjun ketika diperiksa polisi. “Para pelanggan mengetahui nama Tjun Tju dari mulut ke mulut. Hilda juga mendapatkan nama Tjun Tju dari temannya,” kata Budi.

Dalam pengakuannya kepada polisi, Tjun Tju menjalani praktik gelap itu untuk menghidupi empat anaknya yang masih kecil-kecil. Sebab, ia sudah lama bercerai dengan suaminya yang saat ini tengah mendekam di Lembaga Pemasyarakatan (LP) Salemba karena kasus narkotika, psikotropika, dan bahan adiktif lainnya (narkoba).

Atas tindakannya yang mengakibatkan kematian orang lain itu, Ho Tjun Tju akan dikenai Pasal 82 Undang-Undang Nomor 23 Tahun 1992 tentang Kesehatan. Isi pasal itu di antaranya, bukan profesinya tetapi melaksanakan kegiatan dengan ancaman hukuman di atas lima tahun.

Tjun Tju juga dikenai Pasal 359 Kitab Undang-undang Hukum Pidana (KUHP), yaitu kelalaian menyebabkan orang lain meninggal dunia.

Dari pihak keluarga diperoleh keterangan, Hilda sudah dimakamkan pada hari Minggu kemarin. Ketika Kompas tiba di rumahnya semalam, di rumah yang terletak di gang sempit permukiman padat Cempaka Wangi itu sedang diadakan tahlilan.

Ibu korban, Ernawati, terlihat masih shock. Ia tak menyangka anaknya yang kuliah di Belanda, karena ikut kedua kakaknya yang menikah dengan orang Belanda, itu meninggal begitu cepat.

Lutfi (35), kakak Hilda, menuturkan, adiknya itu pergi ketempat praktik Tjun Tju seorang diri, sekitar pukul 14.00. Ia pergi menggunakan taksi. “Pamitnya mau main ke rumah teman,” katanya.

Menurut salah satu tante Hilda, Tanti (55), sebelum ke Belanda dua tahun lalu, Hilda memang memang pernah menyatakan keinginannya untuk memperbesar payudaranya.

“Saya bilang, tindakan itu amat berbahaya karena dahulu ada orang yang melakukan tindakan tersebut di Mangga Dua dan akhirnya meninggal. Hilda juga tidak perlu melakukan itu karena sudah cantik,” papar Tanti. (IND/nwo)

Bahaya Suntik Vitamin C

JADI KETAGIHAN SEPERTI PECANDU NARKOBA www.cybertokoh.com

Konon, dengan suntik Vitamin C bukan saja membuat badan jadi segar dan sehat, tapi juga membuat kulit si pemakai menjadi mulus. Lebih dari itu, produk ini juga diklaim bisa membuat pemakainya awet muda.

Iklan yang jor-joran, promosi dari mulut ke mulut, membuat banyak wanita tergoda untuk mencoba. Apalagi, dari segi harga relative jauh lebih murah ketimbang melakukan tindakan operasi.

Promosi hanya dengan uang beberapa ratus ribu, bisa tampil cantik dan awet muda, memang sungguh menggoda. Bisa jadi ini juga sebabnya belakangan makin banyak klinik kecantikan yang juga menyediakan layanan suntik Vitamin C. Lebih yakin lagi, karena sejumlah klinik itu juga menyediakan dokter untuk berkonsultasi.

Benarkah suntik Vitamin C itu aman bagi kesehatan?? Benarkah tidak ada efek sampingan? Dokter Spesialis Kulit, Titi Moertolo, dengan tegas membantah keamanan suntik Vitamin C. Menurutnya, di beberapa Negara hal tersebut sudah dilarang. Di Amerika misalnya, tidak pernah direkomendasikan melakukan hal itu, di Australia, dokternya masuk penjara. Bahkan di Afrika hal itu sudah dilarang sejak 20 tahun lalu.

“Di Indonesia? Gila!!! Malah Makin gila!!! Lebih gila lagi, barangnya diperoleh dari black market kemudian disuntikan kepada pasien..Hanya dengan suntik Rp 60.000 seolah semua beres,” ungkap dokter Titi dalam bicang dengan Tokoh di ruang prakteknya bilangan Bendungan Hilir, Jakarta .

Konsumen, ingatnya, hendaknya berpikir panjang dan jangan terbuai dengan iming-iming tidak ada efek sampingan. Asal tahu saja, tegas dokter Titi, ada banyak efek sampingan dari suntikan Vitamin C yang dilakukan terus menerus, di antaranya, batu ginjal, batu empedu, penipisan tulang, pengeroposan, dll. Lebih mengerikan lagi, ternyata ada efek ketagihan yang dialami konsumen.

“Kalau tidak disuntik, si pasien merasa badannya lemas. Ada kasus, pasien yang merasa harus terus mendapat suntikan itu.

Padahal dia sudah menjadi langsing, kulitnya sudah putih, tapi tetap merasa ‘butuh’ dan harus mendapat suntikan itu.Ini ‘ kan aneh.Pasien itu bilang, dia merasa fly, asyik, bila mendapat suntikan itu. Jadi sudah seperti narkoba, orang menjadi ketagihan. Saya tidak tahu, apakah suntikan yang diberikan diberi campuran sesuatu sehingga orang menjadi ketagihan,” jelasnya.

Kasus-kasus Kecanduan

Dokter Titi memaparkan hal ini berdasarkan kasus-kasus yang diterimanya. Dia bercerita, suatu ketika ia kedatangan pasien, seorang ibu yang meminta tolong agar dia melepaskannya dari ketagihan suntik VitaminC. “Ibu itu datang ke saya, bilang dia bingung untuk melepaskan diri dari ketagihan, tidak tahu bagaimana caranya.

Saya bilang, ya, berhenti dong bu. Dia jawab, tidak bisa dok, saya butuh, harus!! Kasus lain, seorang remaja datang ke saya, dan menyatakan ingin melepaskan diri dari ketagihan. Menurutnya, bukan hanya dia tapi empat temannya juga mengalami hal tersebut. Empat temannya, sudah putih (kulit) semua, seperti mayat, wajah kuyu, tapi terus menerus suntik, karena ketagihan.

Belakangan saya dapat informasi lagi, kalau salah satu temannya itu sampai tidak tahan terhadap sinar matahari. Ini ‘ kan sungguh mengerikan. Entah apa yang sudah dimasukkan ke dalam badan dia, apakah ada campuran terhadap obat yang disuntikan, saya juga tak tahu,” tandasnya.

Dan, tambahnya, asal tahu saja, yang mengerjakan (menyuntik) Vitamin C dosis tinggi itu adalah dokter juga. “Jadi buat saya sendiri bagai buah simalakama. Apa yang harus saya perbuat?? Kami sama-sama dokter, saya jadi tidak enak dan serba salah.

Dokter yang melakukan itu merasa dirinya sangat benar,” katanya.

Yang jadi pertanyaan, sekalipun sudah banyak korbannya, kenapa praktek menyuntik Vitamin C ini tidak dilarang di Indonesia , sementara di Negara lain tidak diperbolehkan. “Di Malaysia saja hal itu sudah dilarang, karena banyak yang mati. “No injection Vitamin C at all”, sekalipun demi kecantikan, demi kosmetik, tidak boleh! Tapi di sini seolah didiamkan saja,” katanya.

Menopause Dini

Padahal, kalau melihat di Indonesia sebenarnya korbannya juga tak kurang banyaknya. Salah satunya adalah kasus kematian artis terkenal Alda. Memang, jelas dokter Titi, kasus Alda, selain suntik Vitamin C juga ada campuran narkoba.

Namun, asal tahu saja, jelasnya, Vitamin C injection itu mengubah metabolisme obat. Misalnya, disuntikkan vitamin C dan E, nah, vitamin E tidak bisa keluar dari tubuh selama 4 minggu karena adanya vitamin C yang disuntik secara bersamaan. Bagaimana dengan narkoba? Kemungkinannya, narkoba itu tidak bisa keluar karena adanya Vitamin C tadi, pada akhirnya pasien mati.

Satu hal lagi, ujar dokter Titi, Vitamin C dosis tinggi bisa juga untuk aborsi. Remaja-remaja yang suka mengkonsumsi Vitamin C dosis tinggi, mensnya tidak teratur dan sedikit, hanya 1 sampai 3 hari. Mereka ini kemungkinannya pada umur 35-36 tahun akan mengalami menopause dini.

Memang, kata dokter Titi, Vitamin C bermanfaat untuk tubuh asalkan dikonsumsi dengan dosis yang disarankan. Di Amerika misalnya, dosis yang disarankan adalah 50-90 mg, sedang di Indonesia antara 50-70 mg. Jadi bila kita mengkonsumsi 100 mg, cukup.

Atau sebenarnya, tambahnya lagi, Vitamin C cukup didapat dari makanan yang alami, seperti mengkonsumsi 1 buah jeruk per hari, itu setara dengan 50 mg Vitamin C. Bandingkan jika suntik Vitamin C di mana sekali suntik 4.000 mg akan masuk ke tubuh kita, berarti sungguh jauh dari dosis normal yang disarankan.

“Mengkonsumsi 500 mg, buat apa? Itu kan megadosis, kita tidak butuh itu. Memang benar Vitamin C secara positif, baik untuk menghilangkan kerutan, tapi tidak perlu dengan angka (dosis) setinggi itu. Itu masalah,” tegasnya.

Kembali ke masalah Vitamin C injection. Dia menyarankan agar konsumen hendaknya berpikir panjang jika ada tawaran-tawaran mengiurkan seperti suntik Vitamin C bisa menghilangkan kerutan, melangsingkan, atau bahkan membuat kulit mulus dan putih secara cepat (instant).

“Memang itu semua bisa didapat, langsing dan putih, dengan cepat hal ini karena Vitamin C menghambat pembentukan pigmen pada kulit. Tapi efeknya tanggung sendiri. Karena tidak ada sesuatu yang didapat secara instant tanpa efek. Jika terlalu sering endapan Vitamin C di dalam tubuh memungkinkan adanya kristalisasi.

Jadi saran saya, perpikir panjanglah sebelum melakukan, dari pada menyesal kemudian,” ucapnya. (Sumber / Tabloid Nakita)

Terimakasih telah berkunjung di Blog Regina Putri, semoga informasi Manfaat dan Efek Samping Suntik Vitamin C dapat menambah pengetahuan dan wawasan kita dan semoga juga dapat berguna bagi anda. 

Jumat, 06 September 2013

Cara mudah menghilangkan daki

Siapa yang tidak pernah punya daki. Daki/bolot/kethak/dangkal adalah kotoran berwarna kehitaman yang menempel pada kulit terutama pada bagian-bagian lipatan yang tersembunyi seperti siku, leher, belakang telinga, ketiak, atau betis.


Seluruh orang didunia ini tentu memiliki daki yang melekat pada kulit tubuhnya. daki itu sendiri mesti di bersihkan tiap-tiap hari dikarenakan daki selalu ada atau nampak tiap-tiap hari. namun walau telah mandi serta menggosok badan tiap-tiap hari, nyatanya daki tidak dapat seutuhnya hilang apalagi ada yang terus menumpuk sampai jadikan lipatan-lipatan pada kulit tubuh terlihat lebih kotor.

Problem daki membandel layaknya ini ada yang hiraukan ada juga yang mengabaikannya dikarenakan problem ini tidak terlampau terlihat. untuk orang yang tidak memperdulikan perihal layaknya ini baiknya di lupakan saja, dikarenakan saya dapat lebih orang yang hiraukan dengan problem ini terhitung juga anda.

Untuk menangani daki yang membandel pada kulit, tak hanya mandi dengan teratur serta juga menggosoknya, ada cara lain yang dapat di pakai supaya dalam rencana menghilangkan daki membandel jadi lebih gampang. berikut caranya

Mungkin banyak orang yang tidak terlalu memperdulikan masalah kulit yang satu ini. Tapi jangan salah, daki yang sudah membandel karena tidak pernah dibersihkan akan menjadi semakin menumpuk dan sulit untuk dihilangkan. Akibatnya, kulit akan menjadi hitam kusam bahkan daki yang sudah terlalu banyak bisa saja menutup pori-pori kulit sehingga kulit akan sulit bernapas. Namun bagaimanapun juga, kita tidak akan pernah bisa menghindari daki karena daki adalah salah satu hasil regenerasi kulit yaitu sel kulit mati yang kemudian bercampur dengan keringat dan debu dari luar sehingga menjadi kehitaman.

Lalu bagaimanakah cara untuk mengatasi atau minimal mengurangi kotoran hitam di kulit ini? Salah satu cara paling simpel untuk menghilangkan daki adalah dengan mandi dua kali sehari secara teratur. Dan saya yakin bahwa semua orang pasti telah melakukan hal ini (kecuali bagi yang belum). Lalu adakah cara lain yang lebih ampuh untuk melenyapkan masalah kulit yang membandel ini? Tentu saja ada, berikut adalah 5 cara alami untuk menghilangkan daki di kulit yang saya ambil dari beberapa sumber.

Gunakan Scrub Mandi: Seperti yang sudah saya katakan diatas, mandi dua kali sehari saja belum cukup untuk menghilangkan daki yang membandel di kulit. Lebih dari itu, anda bisa menggunakan body scrub yang bisa mengangkat sel kulit mati dan kotoran lain yang menempel pada kulit. Selain bisa menyelesaikan masalah daki anda, body scrub ini juga bisa membuat kulit lebih halus dan wangi. Atau kalau mau murah, anda bisa menggunakan garam dan gula yang dicampur dengan sabun cair untuk menggosok tubuh anda.

Gunakan Lulur Kopi: Cara menghilangkan daki dengan cara luluran kopi ini termasuk mudah untuk dipraktekkan. Anda hanya perlu menyeduh beberapa sendok kopi dengan air hangat, lalu gosokkan lulur kopi yang masih hangat tadi ke bagian tubuh yang banyak dakinya, setelah itu diamkan selama sekitar 20 menit, lalu bilas dengan air bersih. Insya Allah jika dilakukan secara teratur minimal seminggu sekali, anda akan bisa melihat hasilnya.

Gunakan Camburan Beras dan Jeruk Nipis:  Seperi cara diatas, kali ini anda hanya perlu mencampurkan tumbukan beras yang sebelumnya telah disangrai (digoreng tanpa minyak) dengan sedikit minyak zaitun dan air perasan jeruk nipis. Setelah selesai, silahkan gunakan ramuan ini untuk luluran sambil sedikit mengurut kulit.

Gunakan Batu Apung: Setelah selesai mandi usahakan selalu menggosok kulit yang masih dalam keadaan basah dengan menggunakan batu apung atau penyikat badan yang biasa dijual di supermarket. Dengan cara yang murah meriah ini, kotoran di kulit akan langsung rontok tanpa sisa. Namun yang perlu diingat, jangan sampai menggosok badan dalam keadaan kering karena kulit akan lecet dan luka-luka.

Jagalah Kebersihan: Mungkin ini adalah cara yang paling penting dari cara-cara menghilangkan daki diatas. Seperti yang kita tahu bahwa daki timbul karena adanya kotoran di kulit. Untuk itu jagalah tubuh agar tetap bersih, sering-seringlah mencuci muka, mandi dua kali sehari, sukur-sukur kalau rajin wudhu, kalau yang punya uang banyak silahkan rajin-rajin luluran dan SPA. Selain itu, penggunaan pemutih kulit terutama yang mengandung hidrogen peroksida dalam jumlah yang ideal, pelembab kulit (lotion), dan penggunaan tabir surya terutama di daerah-daerah yang sering terkena sinar matahari akan sangat membantu menangkal masuknya kotoran dari luar ke kulit.

Cara alami menghilangkan daki
Untuk lakukan cara menghilangkan daki, yang anda perlukan yaitu beras serta juga jeruk nipis. setelah itu goreng beras tadi menggunakan wajan tanpa minyak atau di sangrai. sesudah beras masak atau menggelembung, angkat lantas tumbuk sampai halus.

Bila seluruh itu telah dikerjakan setelah itu yaitu mengambil air dari perasan jeruk nipis lantas mencampurkannya pada tumbukan beras lantas di aduk-aduk menggunakan tangan. bila telah meyakini ke-2 bahan tadi telah tercampur, saat ini giliran menggosok-gosokannya pada tangan sepanjang sebagian menit layaknya orang luluran. kerjakan cara layaknya ini tiap-tiap hari dengan teratur serta lihatlah akhirnya di masa datang. bila anda kurang senang dengan apa yang di hasilkab, ulangilah cara ini sampai anda memperoleh hasil yang anda kehendaki.

Terimakasih telah mengunjungi Blog Regina Putri Semoga informasi Cara Mudah Menghilangkan Daki ini dapat bermanfaat bagi para pembaca.

Penyebab Wajah bopeng dan Cara Mengatasinya

Berikut ini akan kita bahas penyebab – penyebab bopeng dikulit wajah, sehingga kalian semua bisa mencegah terjadinya bopeng di kulit wajah anda :
1. Memegang dan memencet jerawat
Pada awalnya bopeng terjadi karena ada nya luka pada kulit wajah, dan juga terjadi infeksi. Tangan kita yang kotor dan berbakteri akan
penyebabkan terjadinya peradangan pada jerawat jika kita menyentuhnya. Sebaiknya jangan pernah menyentuh apalagi memencet jerawat, karena bekas jerawat akan menjadi bopeng yang sulit untuk dihilangkan.
2. Menumpuknya kulit mati
Menumpuknya sel – sel kulit mati juga merupakan salah satu penyebab terjadinya bopeng. Pada saat banyaknya kulit mati yang menumpuk membuat kulit wajah menjadi kusam dan mudah sekali untuk terjadi infeksi yang mana akhirnya akan membuat kulit wajah menjadi bopengan.
3. Luka (cacar dan lainnya)
Bekas luka di wajah juga merupakan salah satu penyebab bopeng. Jangan pernah menggaruk – garuk bekas gigitan nyamuk yang mana akan membuatnya menjadi korengan dan akhirnya bekas bopeng yang sulit dihilangkan. Bekas penyakit cacar juga akan menjadi bopeng jika pada saat kita cacar, muncul benjolan diwajah dan kita menggaruknya.

Dari beberapa penyebab bopengan di atas, semuanya adalah karena kelalaian manusiannya yang mana tidak menjaga kebersihan kulit wajah dan juga iseng memencet jerawat ataupun menggaruk bekas luka di kulit wajah. Dengan mengetahui penyebab – penyebab bopengan di wajah, diharapkan kalian semua dapat mencegah terjadinya bopeng.

Bopeng di wajah, pada dasarnya adalah salah satu bentuk scar atau jaringan parut. Jaringan parut biasa berbentuk hepertrofi maupun hipotrofi.
“Hipertrofi adalah jaringan perut yang bentuknya menonjol di permukaan kulit. Bisa membentuk keloid atau hypertrophic scar. Sedang hipertrofi atau atrofi atau atrophic scar adalah jaringan perut yang berbetuk cekung”. Atrofi inilah yang sering dikatakan sebagai bopeng di wajah. Jaringan perut tipe atrofi tersebut bisa disebabkan banyak hal, seperti jerawat, infeksi virus cacar air atau varicella, trauma, dan bekas luka operasi. “Bekas jerawat dan cacar air adalah dua penyebab yang paling sering menimbulkan atrophic scar”.
BENTUK
Atrophic scar yang membuat wajah tampak bopeng-bopeng, bisa berupa tiga bentuk, yaitu:
1. Ice Pick
Jaringan parut berupa ice pick, tampak seperti titik-titik kecil di permukaan kulit. Jika dilihat dari penampang kulit secara melintang, lubang ice pick tampak dalam, namun sempit. Bentuknya seperti segitiga, dengan ujung yang runcing dibawah.
2. Rolling
Rolling berbentuk seperti cekungan  landai dan tidak dalam. Sehingga jika dilihat dari permukaan kulit, bopengnya tampak lebih lebar ketimbang bopeng pada ice pick. Tapi, jika dilihat dari penampang kulit secara melintang, lubang rolling berbentuk cekungan setengah lingkaran.
Rolling terjadi akibat adanya jaringan ikat yang mengerut atau tertarik ke dasar kulit, bahkan bisa tertarik hingga ke dasar kulit. “Tarikan inilah yang membuat kulit diatasnya tertarik ke dalam, sehingga membuat cekungan”.
3. Boxcar
Atrofi berupa boxcar ditandai dengan permukaan kulit yang cekungannya bersudut lebih tegas ketimbang rolling. Jika dilihat dari penampang kulit secara melintang, lubang boxcar tampak kotak.
CARA MENGATASI
Atrophic scar yang membuat wajah tampak bopeng, bisa diatasi dengan beberapa treatment berikut:
1. Subcision
Jaringan parut atrofi bisa diatasi dengan subcision. Biasanya, cara ini dilakukan untuk mengatasi jaringan parut atrifi yang berupa rolling. Cara kerja subcision adalah merusak jaringan ikat yang menarik kulit, menggunakan jarum khusus. Hal itu akan membuat kulit diatasnya berangsur-angsur rata dengan permukaan kulit sekitarnya.
2. Filler
Cara kerja filler adalah injeksikan hyaluronic acid di bagian yang cekung atau bopeng, sehingga permukaan kulit akan tampak rata kembali. Tapi, sebelum tindakan filler, terlebih dulu dilakukan subcision untuk membuat jaringan ikat yang menraik kulit sehingga berbentuk cekung. Filler tersebut biasanya dilakukan untuk mengatasi jaringan parut berupa rolling.
3. Dermaroller
Bopeng diwajah bisa diatasi dengan dermaroller, yaitu menggunakan alat yang dilengkapi dengan jarum mikro (micro needling). Saat alat diaplikasikan, jarum ini akan membentuk luka kecil (micro lesion). Luka tersebut menimbulkan inflamasi yang mampu merangsang kolagen untuk membuat perbaikan kulit.
Dermaroller ini biasanya digunakan untuk mengatasi jaringan parut yang tidak terlalu dalam. Hasil dari tindakan ini bisa dilihat setelah 5-6 bulan, scar akan berkurang sekitar 50-75 persen. Tapi, selama itu, tindakan dilakukan satu bulan sekali, dan diulang minimal 3-5 kali.

Terimakasih telah mengunjungi Blog Regina Putri Semoga informasi Penyebab Wajah bopeng dan Cara Mengatasinya dapat bermanfaat bagi para pembaca

Cara Alami Mengatasi Kulit Keriput

Memiliki wajah yang selalu tampak muda, segar, bersih, dan cantik setiap saat merupakan dambaan siapa saja. Wajah seperti itu tidaklah mustahil dapat dimiliki dalam waktu yang cukup lama. Walaupun telah menjadi hukum alam, saat usia sudah menua akan terlihat keriput di
wajah dan menandakan usia anda sudah menginjak usia 40-an. Untuk menghindari keriput di wajah banyak yang harus dilakukan bahkan harus mengekuarkan bajet atau dana yang cukup lumayan untuk membeli produk kecantikan.

Selain produk kecantikan, sahabat dokter  seharusnya bisa memiliki wajah tanpa keriput dengan mudah. Banyak cara yang dapat dilakukan secara alami untuk menhilangkan keriput di wajah. Cara-cara tersebut selain aman tanpa efek samping, juga tidak peru mengeluarkan kocek yang sangat membebani anda.

Berikut 10 cara alami menghilangkan keriput di wajah
Madu: Dari dulu hingga sekarang madu merupakan satu ramuan yang cukup ampuh bagi semua penyakit. Tidak terkecuali pada perawatan wajah , madu sangatlah ampuh dalam mengatasi dan mencegah keriput di wajah. Sahabat dokter tidak perlu susah mendapatkannya dan menggunakannya. Caranya sangat mudah sekali, basuh muka terlebih dahulu dengan air hangat lalu oleskan sedikit madu ke wajah dan diamkan selama 20-30 menit selanjutnya bilas wajah dengan air hangat lagi dan di segarkan dengan es batu, pastikan membasuh semua bagian yang di olesi madu.

Minyak Zaitun dan Lemon: Minyak zaitun bisa membantu memberikan kelembaban pada kulit. Kaya akan vitamin C, D, dan E, antioksidan serta zat besi yang berguna untuk meregenerasi kulit. Sementara lemon membuat kulit lebih cerah dan berseri, jika keduanya di gabung dapat membantu mengurangi keriput pada kulit wajah, tambahan oatmeal untuk mengatasi wajah kusam dan putih telur untuk mengencangkan kulit wajah.

Susu Bubuk: Susu bubuk juga sangat dipercaya untuk mengembalikan kelembaban kulit serta mnghilangkan keriput. Sahabat dokter dapat mencobanya dengan mencampurkan 4 sdm susu bubuk, 2 sdm madu, 2 sdm air hangat aduk hingga rata, lalu oleskan pada wajah secara merata hindari sekitar mata dan mulut, tutup wajah dengan handuk kecil yang sudah di basahi dengan air hangat diamkan sampai 10 menit, bersihkan sisa masker pada wajah dengan handuk kecil tadi, lalu keringkan wajah. Dengan cara tersebut anda tentunya akan merasakan kuit yang lembab dan tak keruiput lagi.

Pisang: Buah Pisang salah astu buah yang mudah sahabat dokter dapatkan untk mencegah kulit keriput. Pisang dipercaya sebagai bahan alami yang Paling efektif dan mudah untuk di jadikan krim wajah anti keriput. Caranya lumatkan satu atau dua buah pisang sampai hancur dan lembut menyerupai krim, oleskan keseluruh permukaan wajah biarkan selama kurang lebih 30 menit lalu bersihkan dengan air hangat , tepuk-tepuk kulit wajah anda jangan sekali- kali mengusap sampai kering.

Ketimun: Ketimun selain banyak digunakan untuk masker, tentu saja juga bermanfaat untuk perawatan anti keriput. Ketimun dapat membersihkan wajah, dimana keriput juga deisebabkan oleh kotoran wajah yang menempel. Ketimun untuk perawatan galvanic spa skin cukup diiris-iris tipis kemudian ditempelkan pada wajah yang sudah bersih, ia dipercaya dapat melunakkan dan menyegarkan kulit, menghilangkan keriput. Sahabat dokter juga bisa memanfaatkan biji ketimun untk masker.

Minyak Kelapa: Minyak kelapa dapat sahabat dokter gunakan untuk perawatan mecegah kulit keriput. Namun minyak kelapa yang digunakan haruslah yang alami olahan tangan, bukan olahan pabrik yang dijual di toko-toko. Minyak kelapa murni mampu mengangkat kulit kering yang menimbulkan keriput, hanya dengan mengoleskan minyak kelapa hangat keseluruh bagian wajah , lakukan kegiatan ini kapan saja anda butuhkan untuk mempertahankan kekencangan kulit wajah anda.

Tomat: Selain mudah didapatkan tomat juga sangatlah terjangkau harganya. Tomat bisa pula digunkan untuk mencegah keriput di wajah anda. Dengan tomat kelembaban dan kekencangan kulit dapat diperthankan. Caranya mudah cukup iris-iris tomat lalu tambahkan madu dan dicampur rata, dioleskan pada wajah, efektif untuk menghilangkan keriput.

Kulit Semangka: Saat memakan semangka, sahabat dokter jangan langsung membuang kulitnya. Kulit semangka bisa digunkan sebagai penggosok muka karena teksturnya yang haus. Selain itu kulit semangka setelah dicuci bersih dipakai dapat menyegarkan dan menghaluskan kulit.

Nanas: Nanas adalah salah satu buah yang mengandung banyak vitamin C. Selain bermanfaat karena kandungan vitaminnya juga sangat efektif untuk menghilangkan keriput di wajah. Sahabat dokter cukup mengoleskan daging buah nanas bagian wajah yang bermasalah, misalnya di seputar mata dan mulut dan lainya. Biarkan cairan nanas tersebut mongering selama 20 menit lalu basuh dengan air hangat atau dingin.

Daun Teh: Di Jepang teh selalu menjadi andalan wanita Jepang dalam menjaga kekencangan kulitnya. Daun teh kaya dengan kandungan 400an unsur kimia, yang terpenting di antaranya adalah catechins, senyawa Aromatic Oil, senyawa karbohidrat, protein, berbagai asam amino, vitamin dan mineral, Pectin dan lain-lain, merupakan minuman penyehat alami dari galvanic spa skin, selain menyehatkan dapat menjaga kulit tetap bersih dan bercahaya, menunda dan mengurangi munculnya keriput pada wajah, bahkan dapat mencegah berbagai penyakit kulit, namun perlu diperhatikan agar tidak meminum teh kental.

Terimakasih telah mengunjungi Blog Regina Putri Semoga informasi Waspada Terhadap Suntik Vitamin C dapat bermanfaat bagi para pembaca

Kamis, 05 September 2013

Waspada Terhadap Suntik Vitamin C

Kulit putih dan halus masih menjadi dambaan sebagian besar wanita Indonesia. Berbagai cara mereka tempuh demi kulit impian, mulai dari memakai produk perawatan pencerah kulit sampai dengan cara instan berupa suntik vitamin C. 


Suntik vitamin C pada dasarnya adalah suntikan untuk mendongkrak imunitas tubuh. Tetapi karena vitamin C juga diperlukan untuk memiliki kulit cantik, belakangan makin banyak klinik yang menawarkan suntik vitamin C megadosis dengan iming-iming memutihkan kulit.

Menurut dr.Hanny Nilasari, Sp.KK, dari klinik Kencana RSCM Jakarta, suntik atau pun infus vitamin C memang bisa mencerahkan kulit. Asal diberikan dalam dosis yang tepat, teratur, dan di bawah pengawasan dokter, pada dasarnya suntik vitamin C aman.

"Tetapi harus diingat bahwa suntik vitamin C hanya mencerahkan kulit, mengembalikannya ke warna semula. Bukan untuk memutihkan kulit," kata dokter yang menjadi wakil sekretaris Perhimpunan Dokter Spesialis Kulit dan Kelamin Indonesia ini.

Warna kulit normal kita, menurut Hanny adalah warna kulit yang ada di bagian tubuh yang jarang terpapar matahari. Misalnya di bagian dada atau lengan bagian dalam. 

Hanny menambahkan, kebanyakan orang berharap berlebihan pada suntik vitamin C. Mereka ingin kulitnya menjadi seputih para bintang film korea. "Biasanya saya tidak mau meladeni pasien yang punya ekspektasi berlebihan seperti itu," katanya.

Tetapi yang perlu diperhatikan suntik vitamin C yang tidak sesuai dosis bisa menimbulkan efek samping yang berbahaya. Efek samping bisa berupa iritasi, perih hebat, sampai reaksi alergi yang bisa menimbulkan kematian.

Untuk itulah Hanny menyarankan kepada pasien yang ingin melakukan suntik vitamin C untuk cek kesehatan dulu untuk mengetahui fungsi ginjalnya. 

"Dosis vitamin C ada maksimalnya. Kalau berlebihan akan larut dalam air dan disaring ginjal. Padahal ginjal juga punya kapasitas maksimal. Kalau terlalu banyak bisa menyebabkan kristalisasi, risikonya mulai dari batu ginjal sampai gagal ginjal," katanya.

Hanny juga mengingatkan pentingnya evaluasi kesehatan setelah beberapa kali melakukan suntik vitamin C. Berhati-hati pula dalam memilih klinik kecantikan dengan dokter yang kompeten. 

Beberapa Hal Mengenai Suntik Vitamin C
Menjadi cantik itu mahal, hal ini yang selalu dikatakan banyak orang, yang selalu melakukan banyak cara untuk menjadi cantik. Banyak cara untuk mencapai kata cantik bagi wanita, seperti sedot lemak, botok, operasi pelastik, dll. Salah satu cara yang saat ini sangat populer adalah suntik vitamin C.

Indonesia memang sangat membebaskan mekanisme cantik melalui suntik vitamin C ini. Tidak hanya boleh dilakukan di rumah sakit atau klinik kecantikan, bahka suntik vitamin C juga banyak dilakukan di salon-salon kecantikan, yang dilakukan bukan oleh ahlinya. Hal ini menjaddi sangat laris terutama karena, efek pemutihan pada kulit yang muncul setelah dilakukan penyuntikka, memuaskan para pelanggan. Belum lagi karena efek energi atau stamina plus yang terjadi.

Vitamin C Cukup Didapat Dari Sayuran dan Buah
Jika Anda tidak benar-benar membutuhkan vitamin C megadosis, maka lebih baik Anda tidak perlu melakukan suntik vitamin C. Karena, hal ini justru memperberat kerja dari ginjal saja. Berdasarkan data FDA, manusia cukup mengkonsumsi 45-90 mg vitamin C setiap hari, dan ini bisa diperoleh dari buah dan sayuran. Sedangkan, dosis yang tercantum dalam suntikan vitamin C bisa mencapai 500 mg-4000 mg.

Apakah dalam sekali suntikan, efek pemutihan pada kulit akan sempurna? Tidak, Anda bahkan harus melakukan suntik vitamin C sebanyak 5-6 kali. Hal ini ternyu berisiko pada ginjal Anda. Negara-negara maju, sangat tidak merekomendasikan melakukan suntik vitamin C, terkecuali untuk kebutuhan yang diperlukan, seperti defisiensi vitamin C kronis. Beberapa rumah sakit menggunakannya untuk membantu pasien kanker.

Anda hanya perlu mengkonsumsi buah dan sayur untuk memenuhi kebutuhan vitamin C anda dalam sehari, sedang untuk kulit, Anda bisa menggunakan kosmetik yang sudah teregritasi dan melakukan perawatan kulit seperti biasanya.

Jika Anda Tetap Memilih Suntik Vitamin C
Walaupun sangat tidak dianjurkan, namun jika Anda tetap memilih melakukan sunti vitamin C, ada baiknya Anda cermat dan mengetahui apa yang sebaiknya dilakukan, sebelum membeli suntikan vitamin C.

Memastikan bahwa Anda tidak punya masalah dengan penyakit maag, sangat penting untuk dilakukan. Anda juga bisa berkonsultasi dengan dokter untuk mengetahui apakan ginjal Anda dalam keadaan yang baik.

Memilih orang yang akan membantu Anda menyuntikan vitamin C ke pembuluh darah Anda juga sangat diperlukan. Sebaiknya Anda melakukannya di dokter kulit, yang sudah sering melakukannya. Hindari melakukan suntik vitamin C di salon-salon kecantikan. Karena, jika terjadi apa-apa dengan Anda, maka Anda sulit untuk membela diri.

Beberapa orang sering merasakan kembung atau juga diare setelah penyuntikan, jika hal ini membuat Anda terganggu ada baiknya Anda menghubungi ahli kesehatan. Hal ini juga termasuk, jika dikemudian hari Anda mengalami gangguan seperti batu ginjal, mungkin suntik vitamin C harus dihentikan.

Anda perlu banyak minum setelah penyuntikan, agar meminimalisir eek terjadinya batu ginjal di kemudian hari. Jika Anda bisa menghindari suntik vitamin C, maka sebaiknya Anda menghindarinya dari sekarang, sebelum Anda merasakan bahwa hal ini sebuah kebutuhan.

Terimakasih telah mengunjungi Blog Regina Putri Semoga informasi Waspada Terhadap Suntik Vitamin C dapat bermanfaat bagi para pembaca

Rabu, 28 Agustus 2013

Cara mudah mengatasi kulit berminyak

Kulit berminyak biasanya terjadi karena pola makan yang salah dan juga faktor keturunan bukan dari kondisi kesehatan orang tersebut. Karena kulit berminyak sangat mudah mengikat debu dan kotoran maka ini akan membuat kulit terlihat kusam. 

Sebelumnya perlu diketahui penyebab kulit berminyak,berikut adalah penyebabnya ;
Faktor penyebab kulit berminyak :
  1. Sudah pasti pola makan yang buruk akan menjadi penyebab lebihnya kadar minyak, terlalu banyaknya lemak dalam tubuh yang bisa berasal dari makan-makanan yang manis dan berlemak tinggi.
  2. Faktor Hormonal yang bisa menjadi salah satu pula mengapa kulit menjadi berminyak, hormon yang tidak seimbang atau pada saat masa puber yang bisa menjadi pemicu.
  3. Pemilihan jenis kosmetik yang tidak tepat bisa menjadi kadar minyak di wajah menjadi meningkat.
  4. Faktor keturunan bisa dikatakan juga menjadi factor kulit berminyak, biasanya orang tua yang mempunyai masalah kulit berminyak, akan diwariskan juga ke anaknya.
  5. Pengaruh obat-obatan seperti obat untuk KB bisa memicu kulit menjadi berminyak.


Sekarang akan diberikan beberapa Tips Cara Mengatasi Kulit Wajah Berminyak 

1. Yang paling penting untuk mengatasi kulit berminyak adalah mencuci wajah secara teratur. Basuh wajah minimal 2 kali sehari dengan cairan pembersih wajah yang lembut dan tidak mengakibatkan iritasi. Lebih bagus lagi jika anda memilih pembersih wajah yang terbuat dari tanaman herbal.

2. Gosok dengan pembersih wajah 2 kali dalam seminggu. Ada beberapa pembersih wajah yang bekerja seperti lulur, mengangkat semua kotoran dan kulit mati sehingga wajah menjadi lebih bersih dan cerah. Wajah berminyak lebih mudah mengikat debu, dan jika terus menumpuk akan membentuk lapisan di atas wajah. Agar lebih aman, anda sebaiknya memilih produk yang memang sudah dipercaya oleh banyak orang dan dinyatakan aman.

3. Untuk mengatasi wajah berminyak, anda juga perlu mengoleskan produk untuk menyeimbangkan minyak di wajah. Sama seperti sebelumnya, pilihlah produk yang dinyatakan efektif dan aman karena anda akan selalu membutuhkannya setiap waktu.

4. Perawatan lainnya adalah dengan toner dan Moisturizer. Setelah mencuci wajah menggunakan produk pembersih wajah, jangan lupa untuk mengapolikasikan toner dan moizturer. Perawatan ini tidak hanya diperlukan untuk kulit berminyak, namun juga kulit tidak berminyak. Ada berbagai macam produk yang tersedia di laur sama, anda bisa memilih yang alami seperti toner rose water dan green tea.
Cara Alami Mengatasi Wajah Berminyak

Selain cara-cara yang diatas,kamu patut mencoba mengatasinya dengan cara yang sangat alami seperti berikut ini :

Susu: Susu merupakan salah satu bahan terbaik untuk menghilangkan minyak di atas permukaan kulit. Silakan oleskan produk perawat wajah yang mengandung susu sebelum anda tidur. Susu memiliki kemampuan alami untuk menghilangkan debu dan kotoran di wajah. Selain itu, susu juga baik untuk membersihkan pori-pori wajah yang tersumbat. Anda bisa mengambil kapas, kemudian mencelupkannya ke dalam susu dan oleskan ke permukaan wajah. Anda juga bisa menambahkan minyak lavender untuk meningkatkan hasilnya.

Masker lumpur: Lumpur sudah lama dipercaya untuk mengatasi wajah berminyak. Pilihlah lumpur yang higienis, bukan diambil langsung dari sawah karena ada banyak kotoran dan bakteri di dalamnya. Anda bisa membeli lumpur khusus dari toko kecantikan atau di tempat lainnya. Campurkan lumpur dengan kunyit sebelum dioleskan di wajah untuk meningkatkan hasilnya. Setelah dioleskan, tunggu selama kurang lebih setengah jam baru kemudian bilas hingga bersih. Anda bisa memakai masker lumpur sekali seminggu. Selain menghilangkan minyak, wajah juga akan terlihat lebih bersih dan lembut.

Gandum: Bahan makanan ini juga baik untuk mengatasi kulit berminyak. Sediakan gandum yang belum diproses, kemudian campurkan dengan satu sendok teh madu dan setengah sdt air jeruk lemon. Campur ketiga bahan ini hingga membentu pasta yang padat, selanjutnya aplikasikan ke atas kulit dan tunggu sekitar 15 menit.

Bubuk kayu cendana: Ambil sedikit bubuk cendana dan campurkan dengan beberapa tetes air, selanjutnya oleskan ke atas kulit wajah yang berminyak. Biarkan hingga mengering dengan sendirinya lalu bilas dengan air hangat. Ini membantu menghilangkan minyak berlebih serta melawan jerawat di wajah.

Senin, 22 Juli 2013

Cara membuat kulit putih dalam waktu singkat

Kunyit atau kunir sudah dimanfaatkan oleh nenek moyang kita sebagai bahan untuk perawatan kecantikan. Biasanya mereka memanfaatkan kunyit sebagai jamu untuk diminum. Namun sekarang ini sudah banyak beredar produk kecantikan dan kesehatan dalam bentuk yang lebih
modern. Contohnya dalam bentuk kapsul, serbuk, minuman kesehatan atau yang lainnya.

Sebelumnya mengungkap lebih jauh mengenai manfaat kunyit untuk kecantikan, ada baiknya jika kita mengetahui lebih dulu mengenai klasifikasi tanaman ini serta kandungan senyawa di dalamnya.

Kunyit Vs Mustard Oil
Mustard biasa dipakai sebagai bahan saus untuk salad. Fungsinya adalah untuk membantu menghaluskan dan melembabkan. Diramu jadi satu dengan kunyit, mustard ini dapat diaplikasikan sebagai masker wajah dan dibiarkan mengering pada wajah kemudian dibilas.

Ramuan ini dapat mencerahkan wajah Anda.

Kunyit Vs Susu Bubuk
Susu bubuk putih adalah bahan masker paling murah dan mudah diperoleh. Campurkan dengan bubuk kunyit kemudian aplikasikan pada kulit tubuh dan wajah. Lakukan secara teratur setiap hari dan dapatkan kulit lebih cerah dan halus.

Kunyit Vs Madu
Campurkan 1 sdm bubuk kunyit dan 1/2 sdm madu. Aduk hingga terlihat seperti pasta, dan aplikasikan di wajah. Biarkan selama 10 menit hingga mengering dan bilas dengan air dingin. Kulit akan tampak lebih cerah dan bersinar.

Kunyit Vs Sandalwood
Ingin mendapatkan kulit putih mulus bebas noda? Anda harus mencoba ramuan ini. Campurkan 1 sdm bubuk kunyit dengan 1/4 bubuk sandalwood kemudian aplikasikan pada kulit.

Masker ini sekaligus dapat mengobati jerawat serta menghilangkan bekas jerawat.

Kunyit Vs Air Mawar
Campurkan 1 sdm bubuk kunyit dengan 2 sdm air mawar. Aplikasikan dengan menggunakan kuas merata pada wajah. Diamkan dan buat kondisi tubuh Anda relaks. Aplikasi ramuan yang ini selain mencerahkan kulit juga dapat membuat kulit jadi lebih rileks.

Scrub kunyit
Memanfaatkan kunyit untuk scrub wajah juga bukan hal mustahil. Scrub kunyit dapat membantu menghaluskan kulit serta membuang sel-sel kulit mati. Caranya adalah dengan mencampurkan bubuk kunyit dengan oatmeal, kemudian mengaplikasikannya sebagai scrub.

Dengan pemakaian teratur, kulit Anda tak hanya sekedar putih saja, tetapi juga halus dan lembut.

Cara mudah membuat kulit menjadi putih secara alami

Setiap wanita mendambakan kulit putih, halus dan kencang. Banyak kosmetik yang menawarkan rahasia bagaimana kulit putih, halus, dan kencang, Kita sering ditawarkan dengan tawaran yang sangat muluk-muluk. Tapi tanpa kita sadari, banyak hal yang disembunyikan dari kita
(konsumen). Misalnya, apakah anda tau bahwa pemutihan dengan bahan kimia mempunyai efek yang berbahaya bagi kesehatan kulit anda?  tidak sedikit juga efek samping yang di timbulkannya.

Apakah anda tahu manfaat dan efek samping kandungan yang ada dalam pemutih yang anda gunakan? Sehingga bukannya membuat kulit putih, halus dan kencang, tetapi malah membuat peradangan. Nah berikut ini ada beberapa alternatif untuk membuat kulit kita menjadi putih secara alami, yakni melalui makanan yang mudah didapat dalam kehidupan sehari-hari.

1. Putih Telur Putih Telur juga mengandung zat-zat yang dapat membuat kulit lebih putih. Zat-zat tersebut adalah zeaxanthin dan lutein. Kedua zat itu bekerja menjaga keindahan kulit dengan cara melindungi kulit kita dari paparan sinar ultraviolet yang bisa membuat sel kulit rusak. Namun tak hanya itu saja, telur juga akan membantu menjaga kekencangan kulit, melembabkannya serta membuat kulit jadi lebih lembut. 

2. Tomat Tomat juga bekerja hampir sama dengan telur. Kandungan lycopene pada tomat mampu melindungi sel kulit dari kerusakan akibat paparan sinar ultraviolet secara langsung. Konsumsi buah tomat dalam jumlah cukup setiap hari juga akan membuat kulit lebih kencang dan elastis karena tomat juga memiliki kandungan yang dapat merangsang munculnya kolagen pada sel kulit. Kolagen inilah yang membuat kulit tidak mudah kendur. 

3. Soya Bahan makan selanjutnya yang dapat membuat kulit lebih cerah adalah soya. Makanan yang termasuk dalam keluarga kacang-kacangan ini kaya isoflavon yang sering disebut dengan aglycone. Beberapa penelitian tentang soya menyebutkan bahwa kandungan tersebut dapat membuat kulit lebih cerah dan bebas kerutan. 

4. Apel Jika ingin kulit selalu indah dan sehat, Anda harus mencoba mengonsumsi buah apel. Kandungan Antioksidan dan Quercetin dalam buah apel akan melindungi kerusakan kulit seperti kulit yang menghitam akibat terkena paparan matahari langsung. Paparan ultraviolet dapat meningkatkan resiko kanker kulit juga. Namun hal itu dapat dicegah oleh antioksidan yang berada dalam buah apel. 

5. Buah Strawberi Buah ini cukup disukai jika dikonsumsi sebagai jus. Banyak orang yang tidak tahan memakannya langsung karena rasanya yang cukup asam. Menurut ahli-ahli kecantikan dari Miami tadi, kandungan vitamin C dalam segelas jus strawberi cukup tinggi yaitu mencapai 130%. Vitamin C ini sangat dibutuhkan tubuh untuk mengeluarkan serat kolagen. Serat inilah yang membuat kulit kita lebih kenyal, stabil dan semakin lembut. Vitamin C juga mampu mencerahkan kulit dan jika dikonsumsi dalam jumlah yang cukup banyak akan menyamarkan garis-garis yang muncul pada kulit wajah kita. 

Setelah membaca artikel diatas silahkan dipraktekkan dan lihat hasilnya.